Más de 4 millones de personas en todo el mundo padecen enfermedad renal terminal que requiere hemodiálisis, un tratamiento en el que una máquina filtra los desechos de la sangre. La hemodiálisis es un paso previo al trasplante de riñón. Para prepararse, los pacientes suelen someterse a una cirugía que conecta una arteria con una vena del brazo, creando una fístula arteriovenosa (FAV) que permite que la sangre circule por la vena durante el tratamiento. Sin embargo, en aproximadamente el 60% de los casos, la FAV no funciona debido al estrechamiento de la vena, lo que representa un obstáculo importante para la efectividad del tratamiento.
Investigadores de Mayo Clinic han descubierto que el trasplante de células madre derivadas de las propias células de grasa del paciente a la vena, ayudó con frecuencia a prevenir la inflamación y el estrechamiento venoso. Esto puede ayudar a millones de personas con enfermedad renal terminal a tolerar la diálisis por más tiempo, posponiendo la necesidad de un trasplante de riñón.
Esto se debe a que estas células madre adultas, llamadas células madre mesenquimales, secretan factores de crecimiento reparadores que parecen ser eficaces en determinados pacientes con FAV, según explica el Dr. Sanjay Misra, radiólogo intervencionista en Mayo Clinic y autor principal del estudio publicado en Science Translational Medicine.
«Las células madre mesenquimales tienen propiedades antiinflamatorias,» afirma. «La inflamación es un problema importante, especialmente en la sociedad occidental, ya que es un rasgo común de muchas enfermedades: cardíacas, vasculares, hipertensión, colesterol alto y cáncer. Todos ellos están impulsados por la inflamación.»
Mejorando las opciones de tratamiento para la enfermedad renal
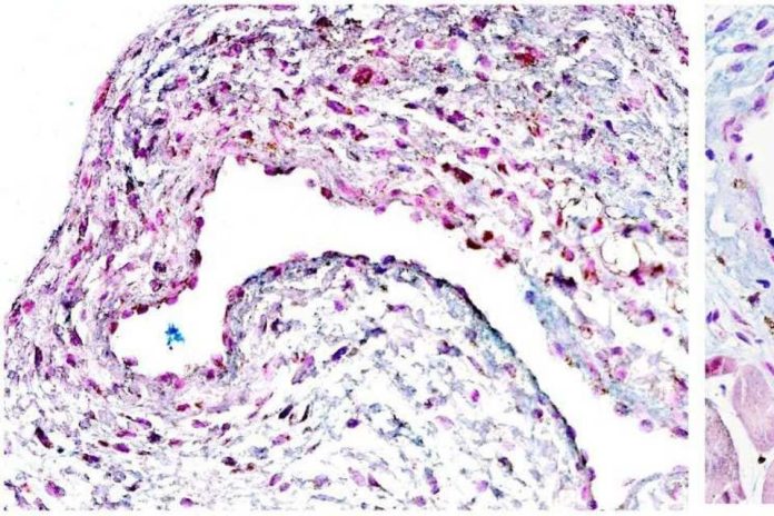
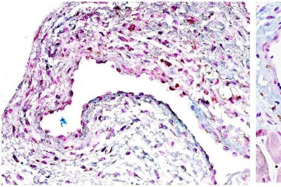
En este estudio, 21 participantes recibieron fístulas arteriovenosas (FAVs) como parte de un ensayo clínico de fase 1. Once participantes recibieron inyecciones de células madre mesenquimales obtenidas de sus propias células grasas antes de la cirugía de FAV; 10 formaron parte del grupo de control. Las FAVs cicatrizaron más rápido y fueron más duraderas en la mayoría de quienes recibieron las células madre. Sin embargo, no todos respondieron al tratamiento.
«Nos sorprendieron estas diferencias en la respuesta a las células madre mesenquimales. Esto nos impulsó a profundizar la investigación e incluir modelos preclínicos y tecnología de secuenciación de ARN,» afirma el autor principal, el Ph. D. Sreenivasulu Kilari.
Los investigadores identificaron factores genéticos específicos con acción antiinflamatoria en aquellos que respondieron bien a las células madre. Afirman que estos biomarcadores genéticos pueden ayudar a predecir qué pacientes tienen más probabilidades de beneficiarse de esta aplicación de células madre, así como ayudar a seleccionar opciones de tratamiento personalizadas. Los investigadores esperan obtener más información a través de ensayos clínicos a gran escala.
«Este enfoque tiene el potencial de mejorar los resultados en millones de pacientes con insuficiencia renal, reducir los costes de la atención médica y orientar nuevas pautas médicas para el manejo del acceso a la diálisis, si se valida en ensayos clínicos a gran escala,» afirma el Dr. Misra.
Esta investigación contó con el apoyo de Michael S. y Mary Sue Shannon, a través del Centro para Bioterapéutica Regenerativa en Mayo Clinic.
Revise el estudio para obtener una lista completa de autores, divulgaciones y financiación.
Recursos adicionales:
Investigación con células madre para mejorar la hemodiálisis
























